
Dr Ahmed Zuhair Al-Bahrani
Senior Consultant Gastrointestinal, Laparoscopic and General Surgeon
MBChB, FICMS (Gen Surg), FRCS (Glasg), FRCS (Eng), FRCS (Gen Surg), MD (Manchester), FACS

Giant Hiatus Hernia -
Laparoscopic repair +/- mesh + Fundoplication





General Information:
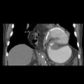
Para-oesophageal hernia (POH) could be diagnosed incidentally or after becoming larger in size and symptomatic. It may be associated with reflux symptoms. It usually contains part or all of the stomach, but it may also contain spleen, pancreas, colon or small bowel. It consists of a sac which is a pouch from the abdominal lining (peritoneum) that protrudes into the chest into the posterior mediastinum (space behind the heart). The stomach may twist on itself in a condition called Volvulus.
Symptoms:
POH could be completely asymptomatic and an incidental finding during endoscopy, X-Ray or scan. It may present with central chest pain that may radiate to the back associated with chest tightness and shortness of breath. The symptoms worsen after meals. It may present with early satiety (early fullness during his/her meal), nausea and vomiting. If there is element of volvulus, it may present with upper GI bleeding (usually vomiting blood rather than passage of black stool). These hernia may also present with reflux symptoms (See the information for Laparoscopic Nissen Fundoplication for more details).
Diagnosis:
-
Clinically; symptoms and signs
-
Chest X-Ray
-
Barium swallow
-
CT scan
-
Endoscopy (camera examination of the gullet, stomach and duodenum) - OGD
Treatment Options:
-
Conservative / Medical therapy: Anti-reflux measures are able to control symptoms along with medication in over 80% of patients. These measures include avoiding late meals - nil by mouth for 2 hours before bed time, raising the head of the bed, avoiding spicy food and caffeine, stop smoking and drinking alcohol, reduce weight and eating little and often to avoid stomach overfill.
-
Pro-kinetics; medications that increase the motility of the gullet and stomach. (e.g. Metoclopramide or Domperidone).
-
Anti-acids; medications that neutralise the acidity of the stomach (e.g. Rennies).
-
H2 blockers; medications that reduce the acid secretion in to the stomach (e.g. Cimetidine or Ranitidine).
-
Proton pump inhibitors; medications that reduce the acid secretion in to the stomach (e.g. Omeprazole, Lansoprazole, Pantoprazole or Esmoprazole).
Anti-reflux Surgery
-
Laparoscopic / open Repair of POH +/- Mesh + OGD + Dor Fundoplication
-
Laparoscopic gastropexy (reduce stomach into abdomen and fix it to the abdominal wall)
-
Laparoscopic assisted insertion of PEGs (reduce stomach into abdomen and anchor it to the abdominal wall using special
tubes). Recommended in elderly frail patients
Operation:
Laparoscopic repair is the standard operation for repairing POH, which
includes reducing the content of the hernia back into the abdomen,
dissecting the hernial sac of the posterior mediastinum and reducing it
fully into the abdomen (not necessary to be removed from the abdomen),
closure of the hiatal defect (the diaphragm defect through which the
hernia protrudes into the chest) with sutures or mesh. A front wrap
(Dor Fundoplication) is usually performed to fix the stomach to the
under surface of the diaphragm that helps reduce the recurrence of POH
and provides an anti-reflux measure as well. The diagram shows the
site of the wounds. You will also have an abdominal drain from the left
abdominal side and nasogastric tube [NG] (a tube inserted through
your nostril in to the stomach to decompress it).
Potential complications:
Infection, bleeding, visceral injuries (injuries to surrounding organs), chest drain (tube inserted into the left and/or right chest if there is breach into chest lining), dysphagia (difficulty in swallowing which is usually transient), adhesions, hernia, chest infection, cardiac event and venous clot in the leg (DVT), which might migrate to lung (PE). Recurrence of POH could occur. Also risk of conversion to open surgery (3%), which is usually an upper middle vertical incision.
Recovery:
You will have a general ache with backache and shoulder pain due to filling the abdomen with gas that takes 48-72hr to be absorbed. It is advisable to have your pain killers regularly for the first 5 days then tail them off.
There are no stitches to be removed, you will have glue over the wounds. You could have a shower once the abdominal drain is removed but no bath until day 5 when you can rub the glue off in the bath/shower.
You will normally have an element of dysphagia (difficulty swallowing) that usually takes up to 6 weeks to settle. You usually stay in hospital for average of 3-5 nights. During your hospital stay, you will be progressed gradually in the oral intake until all the tubes/drains are removed. You will be discharged from hospital after tolerating soft diet.
Before discharge from hospital you need to meet 5 conditions:
• Feeling well and mobilising
• Tolerating soft food and drinking without being sick (vomiting)
• Normal observation (pulse, blood pressure and temperature)
• Passing urine normally
• Someone will stay with you overnight
You should continue on soft diet (avoid any solids), anti-acids and anti-sickness for 4-6 weeks until reviewed You should also avoid fizzy drinks for 6 months. All medications taken should be in a liquid or crushed form.
We can give you a sick note for 2-3 weeks and if you need an extra week, your doctor (GP) can provide you with this. You can walk, but be careful with stairs, always protect your larger wounds when coughing, sneezing or straining. You should avoid driving the first 10 days, and after that if you are able to control your vehicle and press emergency brake, then you can drive. Gradually increase activity back to normal over the next three weeks from surgery. Ideally, you should avoid flights, especially long distance, in the first four weeks after surgery and better to check with your flight insurer before booking.
I will review you in the clinic around 4 weeks following the surgery to assess your recovery where you will be progressed to normal diet gradually over next 2 weeks. You need to be careful on the methodology of eating: small bites, chew the food very well, make sure the food is moist (add lot of sauces), take your time with your meals (slowed pace) and eat little and often. if you have any problems you could contact my secretary or the hospital ward and I will be in touch.
